Aveva 13 anni, nel novembre del 2012, quando l’impaccio della sua mano destra e i movimenti goffi del suo braccio destro diventarono così evidenti da far richiedere una visita ortopedica. La pigrizia di quell’arto superiore destro era fino ad allora passata inosservata perché Leonard (nome di fantasia) è mancino. Durante le partite con la sua squadra di baseball, nei suoi lanci ultimamente si notava il contributo più svogliato del braccio destro alla coordinazione del gesto. A prestarvi attenzione, questa asimmetria era osservabile in ogni sua attività bimanuale.
Oggi Leonard ha 22 anni, ha conseguito un diploma tecnico e lavora nel settore automobilistico. La sua storia clinica è stata descritta sulla rivista Lancet Neurology.
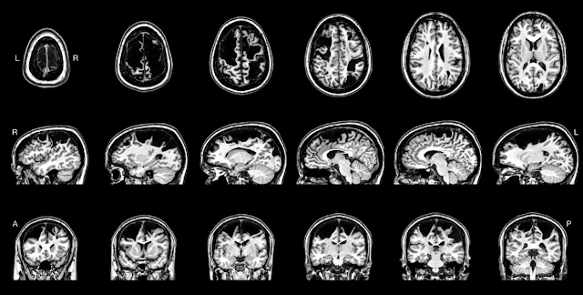
Ripartiamo dall’ortopedico che vede Leonard tredicenne, ipotizza una neuropatia ulnare e prescrive la fisioterapia ma invia a un neurologo per un’ulteriore valutazione. Il neurologo, in base ai risultati dell’esame obiettivo, prescrive una risonanza magnetica, che mostra un reperto inatteso: un’estesa lesione bilaterale compatibile con infarti cerebrali perinatali.
Leonard viene seguito nei due anni successivi dagli specialisti della clinica neurologica dell’ospedale pediatrico di Saint Louis nel Missouri, Stati Uniti, che, in collaborazione con altri reparti, conducono uno studio neuroanatomico e neuropsicologico approfondito nell’intento di rintracciare le possibili spiegazioni di come sia avvenuto che una lesione così estesa, che ha ridotto il volume cerebrale degli emisferi di circa 259 cm3, corrispondenti a circa il 20%, abbia lasciato inaspettatamente esiti così lievi.
Il grado di compensazione che ha il cervello, a seguito di lesioni che avvengono in epoca perinatale o nei primi anni di vita, in realtà è noto ma non smette di sorprendere la notevole plasticità con cui le aree preservate in entrambi gli emisferi tendano a farsi carico anche delle funzioni delle aree che sono state danneggiate o distrutte. Ne risulta una nuova geografia neuroanatomica del tutto esclusiva perché non la si ritroverà con le stesse caratteristiche neppure in casi di lesioni analoghe.
L’unicità della riorganizzazione corticale in età evolutiva è una delle osservazioni più appassionanti della neuropsicologia.
Ricostruendo l’anamnesi, gli specialisti dell’ospedale pediatrico di St. Louis vengono a sapere che durante la gravidanza e il parto non c’erano state complicazioni ma, una volta a casa a 6 giorni di vita, Leonard aveva presentato un breve episodio di apnea della durata di circa 20 secondi. La famiglia si era recata al pronto soccorso ma non era stato ritenuto necessario un ricovero in ospedale. Nei giorni seguenti Leonard aveva iniziato a manifestare scarso appetito, vomito, diarrea e dormiva sempre più a lungo. A causa del suo peggioramento, a 18 giorni di vita fu ricoverato in terapia intensiva. Le sue condizioni furono presto stabilizzate e l’esame neurologico effettuato due giorni dopo non rivelò segni focali che potessero far pensare a un interessamento cerebrale. Leonard fu comunque sottoposto a una TAC (Tomografia Assiale Computerizzata) che riportava un’ipodensità irregolare nelle aree temporali posteriori, parietali e occipitali e a una RM (Risonanza Magnetica) refertata come normale. Tornato a casa in buone condizioni, riprese la sua crescita. Nell’afferrare gli oggetti, spiccò da subito la sua forte preferenza per la mano sinistra e, anche se aveva presentato una temporanea asimmetria nel muovere i primi passi, iniziò a camminare regolarmente a 12 mesi. Il linguaggio espressivo presentò delle incertezze così come più tardi l’apprendimento della lettura e fu per questo che gli furono prescritti dei cicli di logopedia. Il rendimento scolastico non destava preoccupazioni e Leonard completò gli studi frequentando un istituto tecnico.
Come scrivono Timothy Laumann e colleghi del Brain Network Plasticity Group, nell’articolo su Lancet Neurology che descrive il caso di Leonard, “gli ictus bilaterali di grandi dimensioni negli adulti sono spesso fatali e in genere portano a una grave compromissione funzionale con scarso potenziale di recupero. Al contrario, gli ictus perinatali sono associati a esiti funzionali variabili, con ben il 25% dei sopravvissuti che hanno un funzionamento motorio e cognitivo nella norma. Le lesioni corticali focali subite nella prima infanzia possono essere compensate più rapidamente e in modo più completo rispetto a quelle più tardive”.
La serie di accertamenti condotti dall’équipe di neurologi, pediatri, neuropsicologi, terapisti e tecnici dell’ospedale pediatrico di St. Louis con la collaborazione di Leonard e della sua famiglia ha riunito procedure tradizionali e innovative.
Alla RM, presentata nell’articolo, viene documentato che “l’emisfero sinistro ha subito una perdita estesa della corteccia frontale, inclusa la perdita quasi totale del solco centrale e del giro precentrale, nonché nel giro frontale medio e superiore. La perdita corticale a destra è ancora più estesa e coinvolge sia la corteccia frontale che quella parietale, ma con notevole risparmio della circonvoluzione pre- e post-centrale inferiore”.
All’esame neuropsicologico, il Quoziente Intellettivo e le prove specifiche di linguaggio, attenzione e memoria risultano entro i limiti della norma (Media=100, Deviazione Standard=15) per l’età, come si può vedere nella tabella, ma la prestazione alle prove verbali appare più vicina ai valori medi mentre quella alle prove visuospaziali si sposta nella fascia più bassa della media verso i limiti inferiori. Questa discrepanza correla con la maggiore estensione della lesione nell’emisfero destro fino coinvolgere il lobo parietale.
Osservare la distribuzione dei risultati ottenuti ai diversi test fornisce più informazioni oggettive e possibilità di identificare incongruenze rispetto alla semplificazione fornita da un unico punteggio.
I questionari per le valutazioni comportamentali e psicopatologiche (Child Behaviour Checklist, Child Depression Inventory e Connors ADHD) non hanno evidenziato problemi clinicamente rilevanti.
Ai test motori, le prestazioni dell’arto superiore destro sono sistematicamente inferiori a quelle dell’arto superiore sinistro per forza, velocità e destrezza.
Eppure, se la lesione è bilaterale e coinvolge entrambe le aree motorie situate nei lobi frontali, come mai l’arto superiore sinistro è molto più funzionale e tale da garantire una prestazione atletica rispetto all’impaccio del destro?
Attraverso l’applicazione di procedure innovative di risonanza magnetica funzionale (fMRI) e con tensore di diffusione (DTI), Laumann e collaboratori hanno realizzato una mappatura funzionale di precisione che dimostra gli effetti dei diversi processi di plasticità innescati dopo la lesione.
Nelle regioni sottocorticali e cerebellari, i movimenti della mano hanno mostrato un’attivazione tipica. Nella corteccia interessata dalle lesioni, le risposte ai compiti motori della mano destra hanno mostrato un’attivazione del giro post-centrale dell'emisfero sinistro e quindi una rimappatura posteriore della funzione motoria. Le risposte ai compiti motori della mano sinistra sono intatte, ma limitate alla piccola porzione preservata della corteccia motoria dell'emisfero destro.
Pertanto, la rappresentazione motoria della mano sinistra di Leonard si è mantenuta integra ma concentrata in un territorio notevolmente più ristretto del solco centrale destro. Questo processo ha garantito le normali funzioni motorie della mano sinistra. Al contrario, la rappresentazione motoria della mano destra pur occupando un territorio corticale più esteso, spostato posteriormente al giro post-centrale in seguito alla completa perdita del giro precentrale, è funzionalmente compromessa.
Questi risultati dimostrano che occorrono particolari condizioni di connettività affinché si realizzi una sostanziale rimappatura funzionale a livello degli specifici circuiti neuronali stabiliti entro il primo mese di vita.
Cosa sarebbe cambiato se la diagnosi di ictus neonatale fosse stata più tempestiva?
Lo sviluppo psicomotorio di Leonard è stato regolare e quando si è reso necessario ha effettuato cicli di logopedia per migliorare il linguaggio e la lettura, ha ricevuto l’aiuto necessario nello studio e ha avuto la possibilità di fare sport anche a livello agonistico. I genitori, di stato socioeconomico medio, hanno fornito a Leonard le diverse esperienze e sono stati disponibili anche a collaborare con gli specialisti negli anni delle indagini all’ospedale pediatrico.
Se fosse arrivato alla clinica neurologica nel primo mese di vita, probabilmente avrebbe iniziato un percorso riabilitativo precoce con fisioterapia e successivamente logopedia e psicomotricità. Questo, potenziando i processi di plasticità neurale in corso, avrebbe stimolato ulteriormente le sue abilità visuospaziali e la motricità dell’arto superiore destro. Si tratta di una delle interpretazioni possibili, in base a quelle che sono le attuali procedure di intervento in età evolutiva e che dimostrano l’efficacia a lungo termine di interventi riabilitativi precoci. Oppure quello di Leonard è un caso particolare, che ha visto sviluppato al meglio il suo potenziale cognitivo e motorio, pur condizionato dagli effetti degli infarti cerebrali neonatali, all’interno di una famiglia che ha potuto disporre delle risorse necessarie per assicurare tutte le attività necessarie.
Il rafforzamento dei percorsi riabilitativi nei servizi territoriali per l’età evolutiva resta una priorità, ancora più urgente di fronte alle disuguaglianze di accesso alle cure accentuate dai lunghi mesi di sospensione durante la pandemia, per intervenire con tempestività sia nei casi di cerebrolesioni acquisite sia nei disturbi neurosensoriali.




Nessun commento:
Posta un commento